Полноценная улыбка и здоровье полости рта — инновационная имплантация в нашей клинике
Полноценная улыбка и здоровье полости рта — инновационная имплантация в нашей клинике








Комплексную оценку
состояния зубов
Консультация по современным технологиям и материалам
Индивидуальные рекомендации по восстановлению зубов
Предварительный план
лечения и сроки
Точный расчет
стоимости лечения
Ответы на все ваши
вопросы
Комплексную оценку
состояния зубов
Консультация по современным технологиям и материалам
Индивидуальные рекомендации по восстановлению зубов
Предварительный план
лечения и сроки
Точный расчет
стоимости лечения
Ответы на все ваши
вопросы
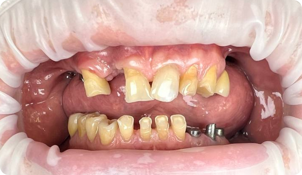
Без корня зуба челюстная кость начинает быстро терять объём, а процессы её восстановления замедляются. Со временем это может сделать имплантацию намного сложнее или даже невозможной, если объём кости станет критически малым. В результате придётся проводить дополнительные дорогостоящие процедуры по наращиванию костной ткани.


Когда в зубном ряду появляется пробел, соседние зубы могут постепенно смещаться в сторону пустого пространства. Это приводит к неправильному прикусу, затрудняет пережёвывание и может вызвать хронические боли в челюсти. Исправление таких изменений требует более длительного и дорогостоящего лечения ортодонтом.
При отсутствии одного или нескольких зубов остальным приходится «работать за двоих». Из-за постоянной перегрузки они быстрее изнашиваются, становятся уязвимыми для кариеса и подвижности. В худшем случае вы можете потерять ещё больше зубов, что серьёзно повлияет на общее состояние полости рта.


Нарушение нормального пережёвывания ведёт к тому, что пища поступает в желудок недостаточно измельчённой. Это может спровоцировать гастрит и другие заболевания желудочно-кишечного тракта, а также спровоцировать общее снижение иммунитета. Со временем дискомфорт и боли в желудке становятся всё более частыми и могут потребовать медикаментозного лечения.
Пробелы в зубном ряду меняют контуры лица, создавая эффект провалившихся щёк и преждевременного старения. Человек начинает стесняться своей улыбки, меньше общается, что неизбежно сказывается на самооценке и социальной активности. В некоторых случаях это приводит к затяжному стрессу и психологическим комплексам, от которых непросто избавиться.

Если не установить имплант своевременно, в будущем понадобится дорогостоящая операция по наращиваю кости
Чем больше времени проходит между моментом удаления зуба и установкой импланта, тем большей деформации подвергается челюстной аппарат. Чем дольше вы затягиваете с визитом к специалисту, тем вероятнее необходимость костной пластики — процедуры по восстановлению костной ткани, без которой нельзя установить имплант на место удаленного зуба.
Ее стоимость составляет от 15.000 рублей. Эта процедура представляет собой не только дополнительные расходы, но и большие траты времени.
Каждый месяц промедления увеличивает стоимость лечения!
Без корня зуба челюстная кость начинает быстро терять объём, а процессы её восстановления замедляются. Со временем это может сделать имплантацию намного сложнее или даже невозможной, если объём кости станет критически малым. В результате придётся проводить дополнительные дорогостоящие процедуры по наращиванию костной ткани.


Когда в зубном ряду появляется пробел, соседние зубы могут постепенно смещаться в сторону пустого пространства. Это приводит к неправильному прикусу, затрудняет пережёвывание и может вызвать хронические боли в челюсти. Исправление таких изменений требует более длительного и дорогостоящего лечения ортодонтом.
При отсутствии одного или нескольких зубов остальным приходится «работать за двоих». Из-за постоянной перегрузки они быстрее изнашиваются, становятся уязвимыми для кариеса и подвижности. В худшем случае вы можете потерять ещё больше зубов, что серьёзно повлияет на общее состояние полости рта.


Нарушение нормального пережёвывания ведёт к тому, что пища поступает в желудок недостаточно измельчённой. Это может спровоцировать гастрит и другие заболевания желудочно-кишечного тракта, а также спровоцировать общее снижение иммунитета. Со временем дискомфорт и боли в желудке становятся всё более частыми и могут потребовать медикаментозного лечения.
Пробелы в зубном ряду меняют контуры лица, создавая эффект провалившихся щёк и преждевременного старения. Человек начинает стесняться своей улыбки, меньше общается, что неизбежно сказывается на самооценке и социальной активности. В некоторых случаях это приводит к затяжному стрессу и психологическим комплексам, от которых непросто избавиться.

Если не установить имплант своевременно, в будущем понадобится дорогостоящая операция по наращиваю кости
Чем больше времени проходит между моментом удаления зуба и установкой импланта, тем большей деформации подвергается челюстной аппарат. Чем дольше вы затягиваете с визитом к специалисту, тем вероятнее необходимость костной пластики — процедуры по восстановлению костной ткани, без которой нельзя установить имплант на место удаленного зуба.
Ее стоимость составляет от 15.000 рублей. Эта процедура представляет собой не только дополнительные расходы, но и большие траты времени.
Каждый месяц промедления увеличивает стоимость лечения!

Мы используем передовые технологии 3D-диагностики и цифрового моделирования, что позволяет максимально точно спланировать установку имплантов и избежать осложнений. Благодаря такому подходу пациент тратит меньше времени на лечение и получает предсказуемый результат.
Над вашим лечением работает слаженная команда хирургов-имплантологов и ортопедов, регулярно проходящих повышение квалификации. Каждый врач имеет внушительное портфолио успешных операций, а общий стаж наших экспертов измеряется десятками лет практики.


Мы используем только проверенные материалы и сертифицированные имплантационные системы с приживаемостью до 98–99%. На все работы наших врачей предоставляется 1 год гарантии, а пожизненная гарантия на имплант идёт от производителя. Благодаря такому комплексному подходу вы можете быть уверены в долговечности и высоком качестве лечения.
Для обезболивания применяются современные анестетики, а по желанию пациента возможна седация. От момента первого приёма и до установки постоянной коронки вы находитесь под внимательным наблюдением, а все процедуры проводятся быстро и практически без дискомфорта.


Мы заранее обсуждаем с пациентом все этапы лечения и окончательную сумму, без скрытых доплат. Кроме того, клиника предлагает удобные варианты рассрочки или кредитования, чтобы высококачественная имплантация стала доступной каждому.

Мы используем передовые технологии 3D-диагностики и цифрового моделирования, что позволяет максимально точно спланировать установку имплантов и избежать осложнений. Благодаря такому подходу пациент тратит меньше времени на лечение и получает предсказуемый результат.
Над вашим лечением работает слаженная команда хирургов-имплантологов и ортопедов, регулярно проходящих повышение квалификации. Каждый врач имеет внушительное портфолио успешных операций, а общий стаж наших экспертов измеряется десятками лет практики.


Мы используем только проверенные материалы и сертифицированные имплантационные системы с приживаемостью до 98–99%. На все работы наших врачей предоставляется 1 год гарантии, а пожизненная гарантия на имплант идёт от производителя. Благодаря такому комплексному подходу вы можете быть уверены в долговечности и высоком качестве лечения.
Для обезболивания применяются современные анестетики, а по желанию пациента возможна седация. От момента первого приёма и до установки постоянной коронки вы находитесь под внимательным наблюдением, а все процедуры проводятся быстро и практически без дискомфорта.


Мы заранее обсуждаем с пациентом все этапы лечения и окончательную сумму, без скрытых доплат. Кроме того, клиника предлагает удобные варианты рассрочки или кредитования, чтобы высококачественная имплантация стала доступной каждому.
Кремлёвская стоматология — единственный в Рязани Центр клинического мастерства Nobel Biocare, мирового лидера в области дентальной имплантации. Только у нас вы можете установить премиальные имплантаты Nobel по цене на 10% ниже рынка:
всего 44 000 ₽ вместо 55 000 ₽
Доверьте свою улыбку профессионалам и получите высококачественное лечение по доступной цене.

Кремлёвская стоматология — единственный в Рязани Центр клинического мастерства Nobel Biocare, мирового лидера в области дентальной имплантации. Только у нас вы можете установить премиальные имплантаты Nobel по цене на 10% ниже рынка:
всего 44 000 ₽ вместо 55 000 ₽
Доверьте свою улыбку профессионалам и получите высококачественное лечение по доступной цене.

1. Первичная консультация
и 3D-диагностика
2. Компьютерное
моделирование + план лечения
3. Установка импланта
4. Установка временной
коронки
5. Изготовление и фиксация постоянной коронки на имплант
6. Теперь Ваша улыбка
идеальна!
1. Первичная консультация
и 3D-диагностика
2. Компьютерное
моделирование + план лечения
3. Установка импланта
4. Установка временной
коронки
5. Изготовление и фиксация постоянной коронки на имплант
6. Теперь Ваша улыбка
идеальна!
Каждый пациент уникален, и для его случая мы подбираем оптимальный способ восстановления отсутствующих зубов. Точное решение принимается после предварительной консультации и осмотра специалистом.
Если нет 1-2 зубов:
Преимущества:
Если нет всех или почти всех зубов:
Преимущества:
Каждый пациент уникален, и для его случая мы подбираем оптимальный способ восстановления отсутствующих зубов. Точное решение принимается после предварительной консультации и осмотра специалистом.
Если нет 1-2 зубов:
Преимущества:
Если нет всех или почти всех зубов:
Преимущества:


До
После


До
После


До
После


До
После
Что входит в тарифные пакеты:
Эконом
Стандарт
Премиум
| Консультация стоматолога-ортопеда |
Консультация хирурга-имплантолога
Установка импланта с формирователем
Riellens
Nobel
Nobel
|
Материал коронки
Цирконий Multilayer
Цирконий Multilayer
Керамическая iPS e'max
|
Неограниченное кол-во консультаций в послеоперационный период
Персональный координатор лечения
Стоимость
70.350 ₽
85.350 ₽
108.000 ₽
Что входит в тарифные пакеты:
Эконом
Стандарт
Премиум
| Консультация стоматолога-ортопеда |
Консультация хирурга-имплантолога
Установка импланта с формирователем
Riellens
Nobel
Nobel
|
Материал коронки
Цирконий Multilayer
Цирконий Multilayer
Керамическая iPS e'max
|
Неограниченное кол-во консультаций в послеоперационный период
Персональный координатор лечения
Стоимость
70.350 ₽
85.350 ₽
108.000 ₽
Riellens
Бразилия
Надежный и долговременный
результат

Гарантия
Пожизненная
Линейка имплантатов Riellen’s включает в себя дентальные имплантаты для любых клинических случаев
Отлично подойдут как для одиночных реставраций, так и для тотальных реконструкций
Дизайн имплантатов и большой выбор ортопедических компонентов даёт возможность использовать
различные варианты реабилитации
По усмотрению лечащего врача могут использоваться протоколы немедленной нагрузки, что делает их привлекательными для реабилитации пациентов по концепции «все на 4 или 6 имплантатах» или «зубы за один день»
Технически чистый титан Grade 4, отсутствие алюминия и ванадия не вызывает аллергических реакций
Nobel Replace
Швейцария
Лидеры среди всех
имплантатов

Гарантия
Пожизненная
Позволяют одномоментную имплантацию сразу после удаления зуба
Обеспечивают высокую первичную стабильность благодаря корневидному дизайну
Снижают необходимость в костной пластике за счёт оптимизированной конструкции
Способствуют естественной эстетике десны благодаря функции смены платформы
Гарантируют быстрое приживление и высокий уровень выживаемости (98,9% через 3 года)
Уникальная поверхность TiUnite, увеличивающая площадь контакта имплантата с костью и обеспечивающая быструю приживаемость
Riellens
Бразилия
Надежный и долговременный
результат

Гарантия
Пожизненная
Линейка имплантатов Riellen’s включает в себя дентальные имплантаты для любых клинических случаев
Отлично подойдут как для одиночных реставраций, так и для тотальных реконструкций
Дизайн имплантатов и большой выбор ортопедических компонентов даёт возможность использовать
различные варианты реабилитации
По усмотрению лечащего врача могут использоваться протоколы немедленной нагрузки, что делает их привлекательными для реабилитации пациентов по концепции «все на 4 или 6 имплантатах» или «зубы за один день»
Технически чистый титан Grade 4, отсутствие алюминия и ванадия не вызывает аллергических реакций
Nobel Replace
Швейцария
Лидеры среди всех
имплантатов

Гарантия
Пожизненная
Позволяют одномоментную имплантацию сразу после удаления зуба
Обеспечивают высокую первичную стабильность благодаря корневидному дизайну
Снижают необходимость в костной пластике за счёт оптимизированной конструкции
Способствуют естественной эстетике десны благодаря функции смены платформы
Гарантируют быстрое приживление и высокий уровень выживаемости (98,9% через 3 года)
Уникальная поверхность TiUnite, увеличивающая площадь контакта имплантата с костью и обеспечивающая быструю приживаемость
Точная 3D-диагностика для успешной имплантации
Центр клинического мастерства Nobel Biocare
Гарантированное приживление имплантов до 99%
Команда врачей-экспертов
с многолетней практикой
Прозрачная стоимость
без скрытых доплат
ТОП-10 клиник по версии «ПроДокторов»
Точная 3D-диагностика для успешной имплантации
Центр клинического мастерства Nobel Biocare
Гарантированное приживление имплантов до 99%
Команда врачей-экспертов
с многолетней практикой
Прозрачная стоимость
без скрытых доплат
ТОП-10 клиник по версии «ПроДокторов»
Кремлевская стоматология основана в 2007 году. Наша клиника предлагает все виды лечения зубов, в том числе имплантацию зубов, лечение зубов под микроскопом, терапию десен на аппарате Vector. Мы единственные в Рязани имеем статус центра клинического мастерства швейцарской компании Nobel Biocare, лидера в производстве зубных имплантатов.

Мы позаботимся о красоте и здоровье ваших зубов!
Кремлевская стоматология основана в 2007 году. Наша клиника предлагает все виды лечения зубов, в том числе имплантацию зубов, лечение зубов под микроскопом, терапию десен на аппарате Vector. Мы единственные в Рязани имеем статус центра клинического мастерства швейцарской компании Nobel Biocare, лидера в производстве зубных имплантатов.
Мы позаботимся о красоте и здоровье ваших зубов!


Архипенко Андрей Юрьевич
Стаж более 27 лет
Директор, врач-стоматолог терапевт

Волков Илья Георгиевич
Стаж более 23 лет
Врач-стоматолог хирург, имплантолог, кандидат медицинских наук

Таранов Роман Сергеевич
Стаж более 22 лет
Врач-стоматолог ортопед

Клейменов Артем Андреевич
Стаж более 10 лет
Врач-стоматолог хирург, имплантолог

Трушевский Виктор Витальевич
Стаж более 8 лет
Врач-стоматолог ортопед

Гусев Дмитрий Сергеевич
Стаж более 10 лет
Врач-стоматолог ортопед

Алексеева Марина Васильевна
Стаж более 12 лет
Врач-стоматолог терапевт, хирург

Фёдоров Денис Алексеевич
Стаж более 9 лет
Врач-стоматолог ортопед, гнатолог

Чапаев Владислав Иванович
Стаж более 8 лет
Врач-стоматолог ортопед, хирург, имплантолог

Холодник Ирина Валериевна
Стаж более 9 лет
Врач-стоматолог ортопед, гнатолог

Шайдин Антон Сергеевич
Стаж более 2 лет
Врач-стоматолог хирург

Архипенко Андрей Юрьевич
Стаж более 27 лет
Директор, врач-стоматолог терапевт

Волков Илья Георгиевич
Стаж более 23 лет
Врач-стоматолог хирург, имплантолог, кандидат медицинских наук

Таранов Роман Сергеевич
Стаж более 22 лет
Врач-стоматолог ортопед

Клейменов Артем Андреевич
Стаж более 10 лет
Врач-стоматолог хирург, имплантолог

Трушевский Виктор Витальевич
Стаж более 8 лет
Врач-стоматолог ортопед

Гусев Дмитрий Сергеевич
Стаж более 10 лет
Врач-стоматолог ортопед

Алексеева Марина Васильевна
Стаж более 12 лет
Врач-стоматолог терапевт, хирург

Фёдоров Денис Алексеевич
Стаж более 9 лет
Врач-стоматолог ортопед, гнатолог

Чапаев Владислав Иванович
Стаж более 8 лет
Врач-стоматолог ортопед, хирург, имплантолог

Холодник Ирина Валериевна
Стаж более 9 лет
Врач-стоматолог ортопед, гнатолог

Шайдин Антон Сергеевич
Стаж более 2 лет
Врач-стоматолог хирург


















Больно ли ставить зубные импланты?
Имплантация проводится под местной анестезией или седацией, поэтому вы не чувствуете боли в ходе процедуры. После установки импланта возможен небольшой дискомфорт, который эффективно снимается обычными обезболивающими.
Сколько времени занимает имплантация?
В большинстве случаев установка одного импланта может занять от 60 до 90 минут. Однако общее время лечения (включая планирование и приживление) может занять от нескольких недель до нескольких месяцев, в зависимости от состояния костной ткани и других индивидуальных факторов.
Сколько служит имплант?
При правильном уходе и регулярных визитах к стоматологу имплант может служить десятилетиями. Многое зависит от соблюдения гигиены полости рта и своевременного прохождения профилактических осмотров.
Можно ли ставить имплант сразу после удаления зуба?
Да, в некоторых случаях можно установить имплант в день удаления зуба — это называется одномоментная имплантация. Решение о возможности такой процедуры принимает врач, основываясь на состоянии костной ткани и наличии противопоказаний.
Как ухаживать за имплантами?
Уход за имплантами практически не отличается от ухода за натуральными зубами: необходимо регулярно чистить зубы щёткой и нитью, пользоваться ирригатором и посещать стоматолога не реже двух раз в год. Такой уход помогает избежать воспалений и продлить срок службы импланта.
При одномоментной имплантации зубов я уйду из клиники уже с готовым зубом?
Нет, одномоментной или моментальной имплантацией называется такой тип восстановления зубов, когда сразу же после удаления зуба на его место устанавливается имплант, десна на месте только что удаленного зуба ушивается, и установка постоянной коронки производится только после полного приживления импланта через 3-6 месяцев. Т.е. имплантация происходит в то же посещение, что и удаление зуба, поэтому и называется одномоментной.
Имплант и штифт это одно и тоже?
Нет, восстановление зуба при помощи штифта осуществляется в том случае, если корень разрушенного зуба сохранен и соответствует определенным требованиям. Штифт помещается в корневой канал, а затем на него крепится искусственная коронка. Имплант по сути заменяет корень полностью утраченного зуба и вкручивается непосредственно в костную ткань челюсти на том месте, где когда-то был зуб.
Безопасна ли компьютерная томография зубов?
В «Кремлёвской стоматологии» применяется один из самых безопасных цифровых компьютерных томографов в мире — ORTHOPHOS SL 3D Ceph немецкой фирмы Sirona, который имеет самый низкий уровень излучения при самом высоком разрешении сканирования (у аналогичных приборов на сегодняшний день). В зависимости от типа исследования томограф создает дозу от 10 до 60 микрозиверт, что почти в 17 раз меньше допустимой годовой дозы.
Больно ли ставить зубные импланты?
Имплантация проводится под местной анестезией или седацией, поэтому вы не чувствуете боли в ходе процедуры. После установки импланта возможен небольшой дискомфорт, который эффективно снимается обычными обезболивающими.
Сколько времени занимает имплантация?
В большинстве случаев установка одного импланта может занять от 60 до 90 минут. Однако общее время лечения (включая планирование и приживление) может занять от нескольких недель до нескольких месяцев, в зависимости от состояния костной ткани и других индивидуальных факторов.
Сколько служит имплант?
При правильном уходе и регулярных визитах к стоматологу имплант может служить десятилетиями. Многое зависит от соблюдения гигиены полости рта и своевременного прохождения профилактических осмотров.
Можно ли ставить имплант сразу после удаления зуба?
Да, в некоторых случаях можно установить имплант в день удаления зуба — это называется одномоментная имплантация. Решение о возможности такой процедуры принимает врач, основываясь на состоянии костной ткани и наличии противопоказаний.
Как ухаживать за имплантами?
Уход за имплантами практически не отличается от ухода за натуральными зубами: необходимо регулярно чистить зубы щёткой и нитью, пользоваться ирригатором и посещать стоматолога не реже двух раз в год. Такой уход помогает избежать воспалений и продлить срок службы импланта.
При одномоментной имплантации зубов я уйду из клиники уже с готовым зубом?
Нет, одномоментной или моментальной имплантацией называется такой тип восстановления зубов, когда сразу же после удаления зуба на его место устанавливается имплант, десна на месте только что удаленного зуба ушивается, и установка постоянной коронки производится только после полного приживления импланта через 3-6 месяцев. Т.е. имплантация происходит в то же посещение, что и удаление зуба, поэтому и называется одномоментной.
Имплант и штифт это одно и тоже?
Нет, восстановление зуба при помощи штифта осуществляется в том случае, если корень разрушенного зуба сохранен и соответствует определенным требованиям. Штифт помещается в корневой канал, а затем на него крепится искусственная коронка. Имплант по сути заменяет корень полностью утраченного зуба и вкручивается непосредственно в костную ткань челюсти на том месте, где когда-то был зуб.
Безопасна ли компьютерная томография зубов?
В «Кремлёвской стоматологии» применяется один из самых безопасных цифровых компьютерных томографов в мире — ORTHOPHOS SL 3D Ceph немецкой фирмы Sirona, который имеет самый низкий уровень излучения при самом высоком разрешении сканирования (у аналогичных приборов на сегодняшний день). В зависимости от типа исследования томограф создает дозу от 10 до 60 микрозиверт, что почти в 17 раз меньше допустимой годовой дозы.
Возле клиники есть свободные парковочные места.
Возле клиники есть свободные парковочные места.
Возле клиники есть свободные парковочные места.
Возле клиники есть свободные парковочные места.
Полноценная улыбка и здоровье полости рта — инновационная имплантация в нашей клинике
Юридическая информация: www.kremlinstom.ru
Полноценная улыбка и здоровье полости рта — инновационная имплантация в нашей клинике
Юридическая информация: www.kremlinstom.ru